Kronisk bihåleinflammation - CASS FESS-kirurgi
Effektiv behandling av kronisk bihåleinflammation – snabb och skonsam behandling med CAS FESS-teknik
Effektiv behandling av kronisk bihåleinflammation med fokus på säkerhet och trygghet
På Charlottenlund Privatsjukhus står några av Danmarks mest erfarna kirurger redo att behandla kronisk bihåleinflammation utan att vänta. Kronisk bihåleinflammation kan orsaka symtom som långvarig nästäppa, huvudvärk, tryck i ansiktet, minskat luktsinne och frekventa bihåleinflammationer. Om du lider av dessa symtom kan behandling vara en effektiv lösning på dina problem.
På Charlottenlund Privatsjukhus har vi lång erfarenhet av behandling av kronisk bihåleinflammation och många års expertis inom området, samt helt ny navigationsutrustning från tyska Fiagon. Detta säkerställer att säkerhet och precision är i toppklass. Behandlingen täcks ofta av privat sjukförsäkring.
Hur vet man om man behöver behandling för kronisk bihåleinflammation?
Kronisk bihåleinflammation kan orsaka flera symtom, inklusive:
✅ Långvarig nästäppa och andningssvårigheter genom näsan
✅ Huvudvärk och tryck i ansiktet
✅ Minskat luktsinne
✅ Frekventa bihåleinflammationer som inte försvinner med antibiotika
✅ Ökad flytning från näsan, ofta gul eller grönaktig
Om du upplever ett eller flera av dessa symtom kan en bedömning av en specialist vara lämplig.
Så här behandlas kronisk bihåleinflammation - CAS FESS
CAS FESS står för Computer Assisted Surgery och FESS står för Functional Endoscopic Sinus Surgery. Idag kallas ingreppet helt enkelt ESS - eller på danska "endoskopisk bihålekirurgi".
Behandlingen av kronisk bihåleinflammation med endoskopisk bihålekirurgi varierar beroende på svårighetsgrad och patient. På Charlottenlund Privatsjukhus utför vi nästan alltid hela operationen, där alla bihålor öppnas och rengörs, och eventuella dräneringshinder avlägsnas. Operationen utförs under narkos och varar mellan 60 och 120 minuter.
Eftervård och läkning – vad du behöver veta
Efter operationen kommer du att vara inlagd på sjukhus för observation under en kort tid, varefter du kan återvända hem samma dag. De flesta patienter upplever endast lindriga obehag under de första dagarna efter behandlingen. De flesta kan återuppta sina dagliga aktiviteter efter cirka 4–7 dagar.
Våra specialistläkare ser till att du får grundlig information om eftervård och smärtlindring på operationsdagen.
Boka en konsultation
Upplever du symtom på kronisk bihåleinflammation? Boka en tid hos våra specialister idag och få en professionell bedömning. Vi säkerställer trygg och säker behandling med landets högsta expertis.
📞 Kontakta oss nu – Vi är redo att hjälpa dig.
Du kan också läsa mer om behandling av kronisk bihåleinflammation på
sundhed.dk.
Sune skriver på TrustPilot efter att ha opererats av klinikchefen Jacob Fisker år 2024:
"Från undersökningen av Jesper Balle till operationen och uppföljningsundersökningen. Kort väntetid och mycket professionell personal. Hela vägen igenom. Jag kände mig väldigt trygg och riktigt väl omhändertagen 🙏💚"
Och nej - aldrig trevligt att opereras och obehaget efteråt vara utan smärta. Men håll ut, det har varit värt det 🙏 Jag är djupt tacksam över att nu kunna andas genom näsan. Jag har bara stort beröm och tack till Charlottenlunds privata sjukhus och personalen! Tack 🙏💚"
Läs också om:
Korrigering av en avvikande nässkiljevägg (septoplastik)
Vanliga frågor
Vad är kronisk bihåleinflammation?
Bihålorna består av pann-, silbens-, käk- och kilbenshålorna, som är hålrum i skallbenet där inflammation kan uppstå. Bihålorna har förbindelse med näsan, och vid inflammation blockeras dessa avflödesgångar. Om tillståndet varar längre än 12 veckor betecknas det som kronisk bihåleinflammation.
Symtomen på kronisk bihåleinflammation liknar i hög grad symtomen vid en förkylning. Vid kronisk bihåleinflammation kan man uppleva en tyngdkänsla och täthet i området runt näsan, ansiktssmärta, nedsatt luktsinne, täppt näsa, snuva och andningsbesvär. Detta beror på att inflammationen blockerar gångarna från bihålorna till näsan. Man kan uppleva symtomen antingen på ena eller båda sidorna av ansiktet.
Hur uppstår kronisk bihåleinflammation?
Kronisk bihåleinflammation är ett vanligt tillstånd som cirka 10 % av befolkningen lider av. Det finns många orsaker till tillståndet, bland annat allergi, trånga bihålegångar, sned nässkiljevägg, rökning, näspolyper med mera. I vissa fall kan man inte hitta någon orsak.
Akut bihåleinflammation är en plötslig sjukdom med smärta och eventuellt feber, och orsakas av en infektion. Den uppstår ofta i samband med en förkylning och varar några veckor innan den går över. Om man har många återkommande fall av akut bihåleinflammation kan man i vissa fall erbjuda en operation för att öppna bihålorna och förebygga detta.
Akut bihåleinflammation går i de flesta fall över av sig själv efter 7–10 dagar, men vissa kan uppleva att bihålorna fortsätter vara inflammerade och fyllda med slem. Om detta tillstånd varar längre än 12 veckor, handlar det om kronisk bihåleinflammation, som behöver behandlas med medicinering eller operation.
Bihålornas funktion
Om man känner på pannbenet, på båda sidor om näsan och i rundningen mellan ögonen och näsan, skulle man kunna tro att ansiktsbenet är solitt där. Det är det dock inte – mellan benets ytter- och undersida finns ett hålrum. Detta hålrum kallas en bihåla.
Det är ännu inte helt klart varför vi överhuvudtaget har bihålor. Vissa har föreslagit att de luftfyllda hålrummen finns för att minska kraniets vikt, medan andra menar att bihålorna fungerar som en deformationszon i en bil, så att trauma mot pannan och näsan inte når hjärnan. Vi vet att bihålkirurgi inte påverkar röstens resonans, och de har ingen funktion för näsan.
Varför välja Charlottenlund Privathospital?
Trygg och omsorgsfull behandling av närvarande personal med minimal risk.
Charlottenlund Privathospital har mycket stor erfarenhet av endoskopisk bihålkirurgi. Vi erbjuder:
Erfarna specialister med ett högt antal utförda ingrepp. Alla kirurger har genomfört flera hundra självständiga ingrepp.
Minimal risk för komplikationer – våra kirurger deltar varje år i flera kurser i endoskopisk bihålkirurgi och reser världen runt för att fördjupa sin kompetens. Detta säkerställer att kirurgiska tekniker ständigt förbättras och att kirurgernas kunskap hålls uppdaterad med nya metoder.
Moderna faciliteter och den senaste utrustningen för optimal patientupplevelse. Charlottenlund Privathospital har under 2024 köpt den senaste och mest avancerade navigationsutrustningen från tyska Fiagon.

Förstudie
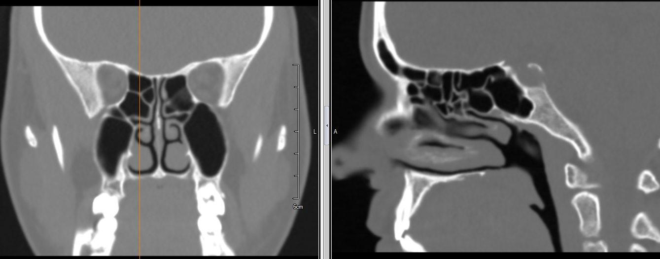
När du har fått diagnosen kronisk bihåleinflammation och är planerad för operation behöver du genomgå en förundersökning. Förundersökningen sker på vårt privata sjukhus i Charlottenlund, där läkaren undersöker dina bihålor med en kort endoskopisk undersökning och en granskning av datortomografin av dina bihålor.
Den endoskopiska undersökningen kan ofta fastställa orsaken till din kroniska bihåleinflammation. Beror det till exempel på näspolyper, stora näsmusslor, en sned nässkiljevägg eller något annat? Läkaren kan enkelt fastställa detta med hjälp av den endoskopiska undersökningen och datortomografin. Om operation krävs för näspolyper, stora näsmusslor eller en sned nässkiljevägg kommer detta att överenskommas i förväg.
Studien visar också om det, på grund av anatomin, kommer att finnas svårigheter att komma åt bihålorna under operationen.
Drift
Kirurgi för kronisk bihåleinflammation utförs under narkos och tar cirka 1,5 timmar. Operationen kan ta längre tid om operation även krävs för näspolyper, stora muskusnäsborrar eller en sned nässkiljevägg.
Operationen syftar till att skapa permanent dränage från bihålorna och ner i näsan genom att expandera det naturliga dränaget från bihålorna. Den utförs genom näsborrarna och med hjälp av avancerad 3D-datornavigeringsutrustning, den så kallade CAS FESS-tekniken. Eftersom inga två patienter är likadana kan sättet på vilket dränage skapas skilja sig från patient till patient. Ingreppet bestäms av kirurgen under den förberedande undersökningen.
Efter operationen kan en kort sjukledighet krävas, men de flesta är redo att börja arbeta inom en vecka..
Boka tid för behandling av kronisk bihåleinflammation
Om du lider av kronisk bihåleinflammation och vill bli behandlad hos oss, är du välkommen att kontakta oss. Våra sekreterare är redo att hjälpa till och svara på eventuella frågor, samt att boka tid för både förundersökning och operation.